About Floss Dental
As a team of dedicated, compassionate professionals, our practice is committed to providing our patients with quality dental care, and to do so with genuine enthusiasm and warmth. Integrity establishes the trust that is crucial to maintaining the relationship we value most with you. Dentistry on Preston never looked so good!
Floss Dental Collective is proud to service our surrounding neighbourhoods including Dow’s Lake, Little Italy, Westboro, Hintonburg and Centretown! If you are looking for a new dentist, or dental hygienist get in touch today!
Our team speaks multiple languages and is happy to assist you in English, French, Vietnamese, Russian, and Persian!
No matter your language, we're here to help!
Our team can assist you in English, French, Vietnamese, Russian, and Persian

What We Do
Dental Hygiene Services
Dentistry Services
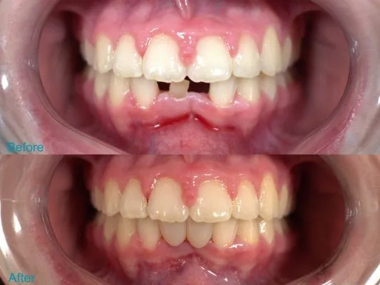
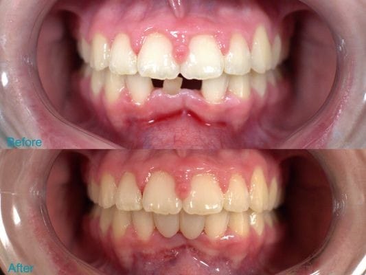
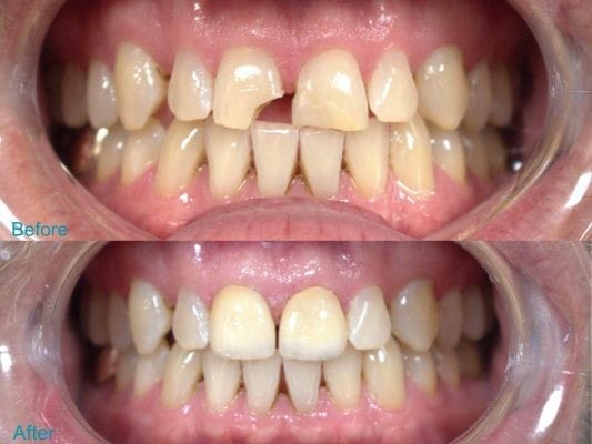
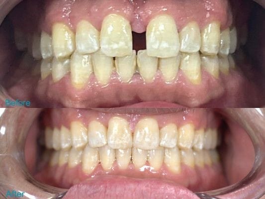
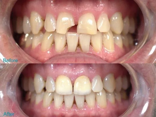
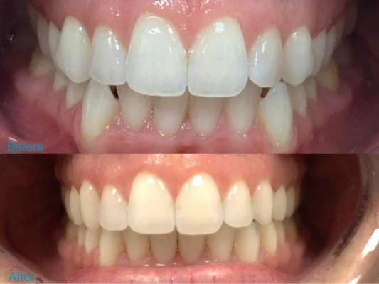
Our Work

Trusted By Our Community
See why patients choose us for their dental care, year after year.

Meet The Team

Dr. Timothea (Betty) Le, Dentist
Dr. Timothea (Betty) Le is the new owner of Floss Dental Collective. She graduated from Western University in London, Ontario in 2020. She is happy to return to her hometown and is dedicated to providing a full range of high quality and personalized dental care for all of her patients.
Dr. Betty is a member of the Royal College of Dental Surgeon of Ontario and the Ontario Dental Association. She speaks English, French, and Vietnamese. In her spare time, Dr. Betty loves travelling, practicing yoga, and walking around the neighbourhood with her dog, Bella. Dr. Betty Le is happy to accept new families and patients of all ages!

Madison
Office
Administrator

Soraya
Dental Assistant
(D.A.)

Freya
Reg. Dental Hygienist (R.D.H.)

Sarah
Reg.Dental Hygienist (R.D.H.)

Nell
Reg.Dental Hygienist (R.D.H.)

Ivy
Reg.Dental Hygienist (R.D.H.)
Frequently Asked Questions
Why should I have an assessment?
Oral health for overall health! Regular dental assessments help protect not just your oral health, but also your overall health. For instance, signs and symptoms of some systemic diseases, such as rheumatoid arthritis, lupus, and diabetes, might show up in the mouth first. If your dental hygienist or dentist finds indications of disease, she will suggest that you see your medical doctor.
What Is Debridement?
Debridement is a term used to describe the physical removal of plaque and tartar accumulation during your dental hygiene visit with your dental hygienist. It is important to remove this build-up of bacteria regularly to maintain healthy gums and to prevent gum disease and decay.
What causes cavities?
Caries (cavities) can occur for many different reasons and the risk factors that can contribute include; a high sugar diet, vitamin/mineral deficiencies, poor oral hygiene, dry mouth, insufficient fluoride, drug/alcohol abuse, and gum disease.
What is a Crown or a Bridge?
Crowns and bridges are fixed prosthetic devices that are cemented onto existing teeth or implants. Crowns are used most commonly to entirely cover a damaged tooth or an implant. if you’re missing one or more teeth, bridges can be a good option to replace (bridge) the missing ones.
What is Sedation Dentistry?
Medication is used in sedation dentistry to assist patients unwind while having dental work done. It is particularly beneficial for people who have poor pain thresholds, sensitive teeth, or dental anxiety. The purpose of sedation is to help you feel relaxed and comfortable while the dentist works, not necessarily to put you to sleep.
How a Root Canal can help?
A root canal removes the infected nerve and the root canal system is thoroughly cleaned and sealed to prevent re-infection. This treatment allows you to keep your natural tooth.
Do You Need A Nightguard?
A nightguard is recommended for those with clenching and grinding habits so that your teeth are protected from these movements and forces of this habit.
Book an Appointment
Ready to experience stress-free dental care? Book your appointment and take the first step toward better oral health!
Follow The Smiles
Follow along for news, promotions, and ways we're keeping our community smiling.




















